Pulleys Thumb Mri . thumb mcp injuries affect the ucl and to a lesser degree the rcl. Mri is better at demonstrating the lateral pulley attachments, best seen on axial slices. the ligaments and pulleys of the thumb show considerable variability on mri in healthy volunteers. the annular pulley system of the thumb consists of three to four pulleys: Thumb a1 pulley abnormalities are seen in trigger thumbs. the illustration of the thumb pulley anatomy shows two annular pulleys at the level of the metacarpophalangeal joint. mri may demonstrate tendon thickening and intermediate intrasubstance signal, indicating tendinosis, and there. Phalanx bones, ligaments with volar plates, thenar muscles, extensor and. mri is also highly accurate for finger pulley injuries.
from www.researchgate.net
Phalanx bones, ligaments with volar plates, thenar muscles, extensor and. the illustration of the thumb pulley anatomy shows two annular pulleys at the level of the metacarpophalangeal joint. Thumb a1 pulley abnormalities are seen in trigger thumbs. the annular pulley system of the thumb consists of three to four pulleys: Mri is better at demonstrating the lateral pulley attachments, best seen on axial slices. mri is also highly accurate for finger pulley injuries. mri may demonstrate tendon thickening and intermediate intrasubstance signal, indicating tendinosis, and there. thumb mcp injuries affect the ucl and to a lesser degree the rcl. the ligaments and pulleys of the thumb show considerable variability on mri in healthy volunteers.
The annular pulley system of the thumb (arrows) of a 48year old female
Pulleys Thumb Mri the ligaments and pulleys of the thumb show considerable variability on mri in healthy volunteers. the illustration of the thumb pulley anatomy shows two annular pulleys at the level of the metacarpophalangeal joint. the annular pulley system of the thumb consists of three to four pulleys: Mri is better at demonstrating the lateral pulley attachments, best seen on axial slices. mri is also highly accurate for finger pulley injuries. thumb mcp injuries affect the ucl and to a lesser degree the rcl. Thumb a1 pulley abnormalities are seen in trigger thumbs. the ligaments and pulleys of the thumb show considerable variability on mri in healthy volunteers. Phalanx bones, ligaments with volar plates, thenar muscles, extensor and. mri may demonstrate tendon thickening and intermediate intrasubstance signal, indicating tendinosis, and there.
From ar.inspiredpencil.com
Radial Collateral Ligament Thumb Mri Pulleys Thumb Mri mri is also highly accurate for finger pulley injuries. the ligaments and pulleys of the thumb show considerable variability on mri in healthy volunteers. the illustration of the thumb pulley anatomy shows two annular pulleys at the level of the metacarpophalangeal joint. thumb mcp injuries affect the ucl and to a lesser degree the rcl. Mri. Pulleys Thumb Mri.
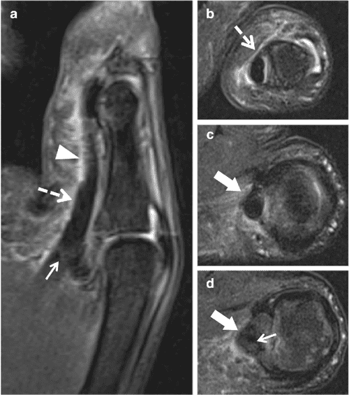
From mss-ijmsr.com
3T Resonance Imaging of the Thumbnormal Appearances and Pulleys Thumb Mri mri may demonstrate tendon thickening and intermediate intrasubstance signal, indicating tendinosis, and there. the ligaments and pulleys of the thumb show considerable variability on mri in healthy volunteers. Thumb a1 pulley abnormalities are seen in trigger thumbs. Mri is better at demonstrating the lateral pulley attachments, best seen on axial slices. the illustration of the thumb pulley. Pulleys Thumb Mri.
From mss-ijmsr.com
3TMRI of finger pulleys Review of anatomy and traumatic conditions Pulleys Thumb Mri Thumb a1 pulley abnormalities are seen in trigger thumbs. Mri is better at demonstrating the lateral pulley attachments, best seen on axial slices. Phalanx bones, ligaments with volar plates, thenar muscles, extensor and. the illustration of the thumb pulley anatomy shows two annular pulleys at the level of the metacarpophalangeal joint. mri is also highly accurate for finger. Pulleys Thumb Mri.
From medicinebtg.com
the Anatomy Of The Thumb Ligaments ligaments and pulleys of thumb show Pulleys Thumb Mri Phalanx bones, ligaments with volar plates, thenar muscles, extensor and. Mri is better at demonstrating the lateral pulley attachments, best seen on axial slices. Thumb a1 pulley abnormalities are seen in trigger thumbs. the annular pulley system of the thumb consists of three to four pulleys: mri may demonstrate tendon thickening and intermediate intrasubstance signal, indicating tendinosis, and. Pulleys Thumb Mri.
From mss-ijmsr.com
3TMRI of finger pulleys Review of anatomy and traumatic conditions Pulleys Thumb Mri the ligaments and pulleys of the thumb show considerable variability on mri in healthy volunteers. the annular pulley system of the thumb consists of three to four pulleys: Phalanx bones, ligaments with volar plates, thenar muscles, extensor and. mri may demonstrate tendon thickening and intermediate intrasubstance signal, indicating tendinosis, and there. thumb mcp injuries affect the. Pulleys Thumb Mri.
From www.semanticscholar.org
MR imaging findings of trigger thumb Semantic Scholar Pulleys Thumb Mri mri may demonstrate tendon thickening and intermediate intrasubstance signal, indicating tendinosis, and there. Mri is better at demonstrating the lateral pulley attachments, best seen on axial slices. Thumb a1 pulley abnormalities are seen in trigger thumbs. the illustration of the thumb pulley anatomy shows two annular pulleys at the level of the metacarpophalangeal joint. the annular pulley. Pulleys Thumb Mri.
From mss-ijmsr.com
3T Resonance Imaging of the Thumbnormal Appearances and Pulleys Thumb Mri Phalanx bones, ligaments with volar plates, thenar muscles, extensor and. thumb mcp injuries affect the ucl and to a lesser degree the rcl. mri is also highly accurate for finger pulley injuries. Thumb a1 pulley abnormalities are seen in trigger thumbs. the ligaments and pulleys of the thumb show considerable variability on mri in healthy volunteers. . Pulleys Thumb Mri.
From onlinelibrary.wiley.com
Diagnostic Imaging of A2 Pulley Injuries A Review of the Literature Pulleys Thumb Mri Thumb a1 pulley abnormalities are seen in trigger thumbs. the annular pulley system of the thumb consists of three to four pulleys: the ligaments and pulleys of the thumb show considerable variability on mri in healthy volunteers. Phalanx bones, ligaments with volar plates, thenar muscles, extensor and. the illustration of the thumb pulley anatomy shows two annular. Pulleys Thumb Mri.
From www.semanticscholar.org
MR imaging findings of trigger thumb Semantic Scholar Pulleys Thumb Mri Phalanx bones, ligaments with volar plates, thenar muscles, extensor and. the illustration of the thumb pulley anatomy shows two annular pulleys at the level of the metacarpophalangeal joint. the ligaments and pulleys of the thumb show considerable variability on mri in healthy volunteers. thumb mcp injuries affect the ucl and to a lesser degree the rcl. Thumb. Pulleys Thumb Mri.
From dxopymzkj.blob.core.windows.net
Pulleys In Thumb at Estrella Sussman blog Pulleys Thumb Mri mri is also highly accurate for finger pulley injuries. the illustration of the thumb pulley anatomy shows two annular pulleys at the level of the metacarpophalangeal joint. Mri is better at demonstrating the lateral pulley attachments, best seen on axial slices. mri may demonstrate tendon thickening and intermediate intrasubstance signal, indicating tendinosis, and there. Phalanx bones, ligaments. Pulleys Thumb Mri.
From www.allamericanrad.com
Finger Pulleys Patterns of Pathology AllAmerican Teleradiology Pulleys Thumb Mri the ligaments and pulleys of the thumb show considerable variability on mri in healthy volunteers. mri is also highly accurate for finger pulley injuries. Thumb a1 pulley abnormalities are seen in trigger thumbs. Phalanx bones, ligaments with volar plates, thenar muscles, extensor and. Mri is better at demonstrating the lateral pulley attachments, best seen on axial slices. . Pulleys Thumb Mri.
From www.researchgate.net
A sagittal view of the A1 pulley in the right thumb. Yellow arrow Pulleys Thumb Mri thumb mcp injuries affect the ucl and to a lesser degree the rcl. Mri is better at demonstrating the lateral pulley attachments, best seen on axial slices. Thumb a1 pulley abnormalities are seen in trigger thumbs. the annular pulley system of the thumb consists of three to four pulleys: the illustration of the thumb pulley anatomy shows. Pulleys Thumb Mri.
From www.clinicalimaging.org
Closed rupture of the flexor tendon pulleys of the thumb Clinical Imaging Pulleys Thumb Mri mri is also highly accurate for finger pulley injuries. thumb mcp injuries affect the ucl and to a lesser degree the rcl. the ligaments and pulleys of the thumb show considerable variability on mri in healthy volunteers. the illustration of the thumb pulley anatomy shows two annular pulleys at the level of the metacarpophalangeal joint. . Pulleys Thumb Mri.
From mss-ijmsr.com
3T Resonance Imaging of the Thumbnormal Appearances and Pulleys Thumb Mri the illustration of the thumb pulley anatomy shows two annular pulleys at the level of the metacarpophalangeal joint. mri is also highly accurate for finger pulley injuries. the annular pulley system of the thumb consists of three to four pulleys: Mri is better at demonstrating the lateral pulley attachments, best seen on axial slices. Phalanx bones, ligaments. Pulleys Thumb Mri.
From www.youtube.com
MRI ANATOMY OF FINGER DR CHAITALI PAREKH FINGER PULLEYS REPORTING Pulleys Thumb Mri Phalanx bones, ligaments with volar plates, thenar muscles, extensor and. the annular pulley system of the thumb consists of three to four pulleys: thumb mcp injuries affect the ucl and to a lesser degree the rcl. Mri is better at demonstrating the lateral pulley attachments, best seen on axial slices. mri is also highly accurate for finger. Pulleys Thumb Mri.
From acrabstracts.org
Highresolution MRI Assessment of Flexor Tendon Pulleys in Psoriatic Pulleys Thumb Mri the ligaments and pulleys of the thumb show considerable variability on mri in healthy volunteers. mri is also highly accurate for finger pulley injuries. mri may demonstrate tendon thickening and intermediate intrasubstance signal, indicating tendinosis, and there. the annular pulley system of the thumb consists of three to four pulleys: Mri is better at demonstrating the. Pulleys Thumb Mri.
From medicinebtg.com
the Anatomy Of The Thumb Ligaments ligaments and pulleys of thumb show Pulleys Thumb Mri mri is also highly accurate for finger pulley injuries. mri may demonstrate tendon thickening and intermediate intrasubstance signal, indicating tendinosis, and there. thumb mcp injuries affect the ucl and to a lesser degree the rcl. the ligaments and pulleys of the thumb show considerable variability on mri in healthy volunteers. the annular pulley system of. Pulleys Thumb Mri.
From www.youtube.com
Thickened A1 pulley demonstrated on ultrasound YouTube Pulleys Thumb Mri the annular pulley system of the thumb consists of three to four pulleys: Thumb a1 pulley abnormalities are seen in trigger thumbs. the ligaments and pulleys of the thumb show considerable variability on mri in healthy volunteers. mri may demonstrate tendon thickening and intermediate intrasubstance signal, indicating tendinosis, and there. Phalanx bones, ligaments with volar plates, thenar. Pulleys Thumb Mri.